整形外科・神経外科

外科治療は内科治療と並び治療選択肢のひとつです。外科治療が最も有効な治療法である場合もあれば、その子の年齢や状態によっては内科治療を行うほうが総合的なメリットが大きい場合もあります。当院では、インフォームドコンセントに重点をおきその手術のメリット、デメリットを十分説明させて頂いた上で実施するようにしております。血液検査やレントゲン検査等により手術前の評価をしっかりと行うことで麻酔リスクを最大限に減らせるよう努力しております。また、その子の状態に合わせた疼痛・麻酔管理を実施していくことで動物への負担を減らし、より安全性の高い手術を行えるよう心がけております。



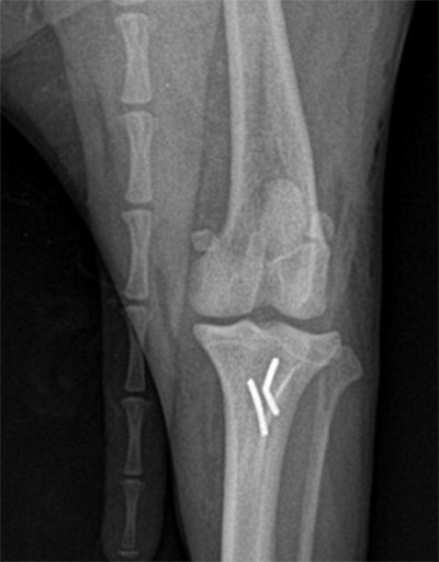
四肢の筋肉、骨、関節、脊柱疾患や外傷を扱う外科の分野です。特に獣医療では骨折や靭帯断裂、椎間板ヘルニア等の疾患が多くみられます。その原因は外傷性(けが)や先天性(生まれつき)のもの、成長期の過程で発症するもの等様々です。動物の整形外科疾患の病気は慢性経過とならないよういち早く見つけ適切な処置を行うことが必要となります。























